19.05.2023 • News

Sill Optics supports research project

Sill Optics is part of the research project QEED, which researches the detection of biomarkers with quantum light.

The project name QEED (Quantum Enhanced Early Diagnostics) stands for "quantum light for a new imaging for the early and differentiated detection of biomarkers in personalized medicine".

A major challenge in clinical cancer diagnostics is the need for rapid analysis of tissue sections. The project aims to transfer measurement information from the clinically relevant mid-infrared (MIR) to the near-infrared (NIR) by developing a novel imaging technique. According to the research project, the sample throughput could be significantly increased with the development of a microscopy method that enables examinations of tissue samples without staining (label-free) and reduces the measurement time of a 10MP image to two minutes. As a result, the examination of label-free tissue samples could be directly integrated into the clinical workflow for the first time.

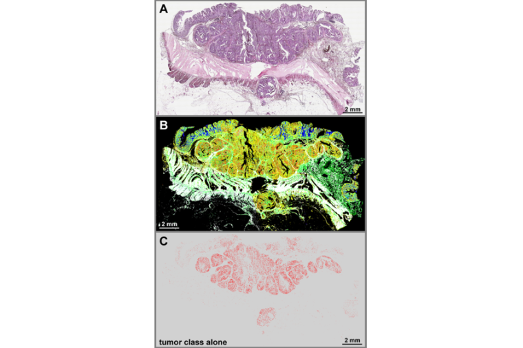
Thin-section images of colorectal cancer with H&E stain in A and label-free...
Thin-section images of colorectal cancer with H&E stain in A and label-free index color images in B and C, acquired with a QCL-based IR microscope. (Image credit: Klaus Gerwert et al. SCIENTIFIC REPORTS | (2018) 8:7717 | DOI:10.1038/s41598-018-26098-w)

With its Trapped Ion lenses, Sill Optics is already represented in optical quantum technologies and, with its contribution to QEED, is taking another important step into the field of quantum-based measurement technology. In the QEED research project, Sill Optics contributes to the project's success by developing and producing the scanner module consisting of a mirror scanner and adapted microscope lenses.

The project is part of the funding measure "Lighthouse projects of quantum-based measurement technology" of the Federal Ministry of Education and Research (BMBF). Two clinical institutes, three research institutes and five industrial partners combine their know-how. QEED has a project term until December 31, 2027. The project volume is 11.9 million euros.

More information about this project can be found here.

Company

Sill Optics GmbH

Johann-Höllfritsch-Str. 13
90530 Wendelstein
Germany

Company contact







PhotonicsViews

PhotonicsViews September 2025 available now!

PhotonicsViews September 2025 available now!

The new issue of the PhotonicsViews is available. Read the September 2025 issue for free as PDF or E-Paper.

inspect America

inspect America September 2025 available now!

inspect America September 2025 available now!

This edition covers the debut of two major trade shows in the US: SPS Atlanta and Embedded World North America, both showcasing significant advancements in the industry.

most read